안녕하세요!
서울에서 40여 년을 살다가 전남 장성으로 귀촌을 해서 살고 있는 서울 촌놈입니다.
평온했던 토요일 어느날.....
아침에 따신물을 마시는데 갑자기 왼쪽 어금니쪽 부근에 통증이 느껴졌습니다.
으잉~? 이러고 그러다 말겠지! 어쩌다 한 번씩 치통이나 이가 시리거나 그럴 때가 있었으니 말이죠!
그런데 시간이 지나면서...
어~! 어~~? 엇~~~?? 아~~ 으~~~ 악~!!!!!!
갑자기 참지 못할 치통이 심하게 찾아왔습니다.
아~! 이거 웬만하면 참겠는데~ 이건 아닌 거 같다~ 이거 아무래도 병원을 가봐야 해결이 될 거 같다는 생각이 들었어요!
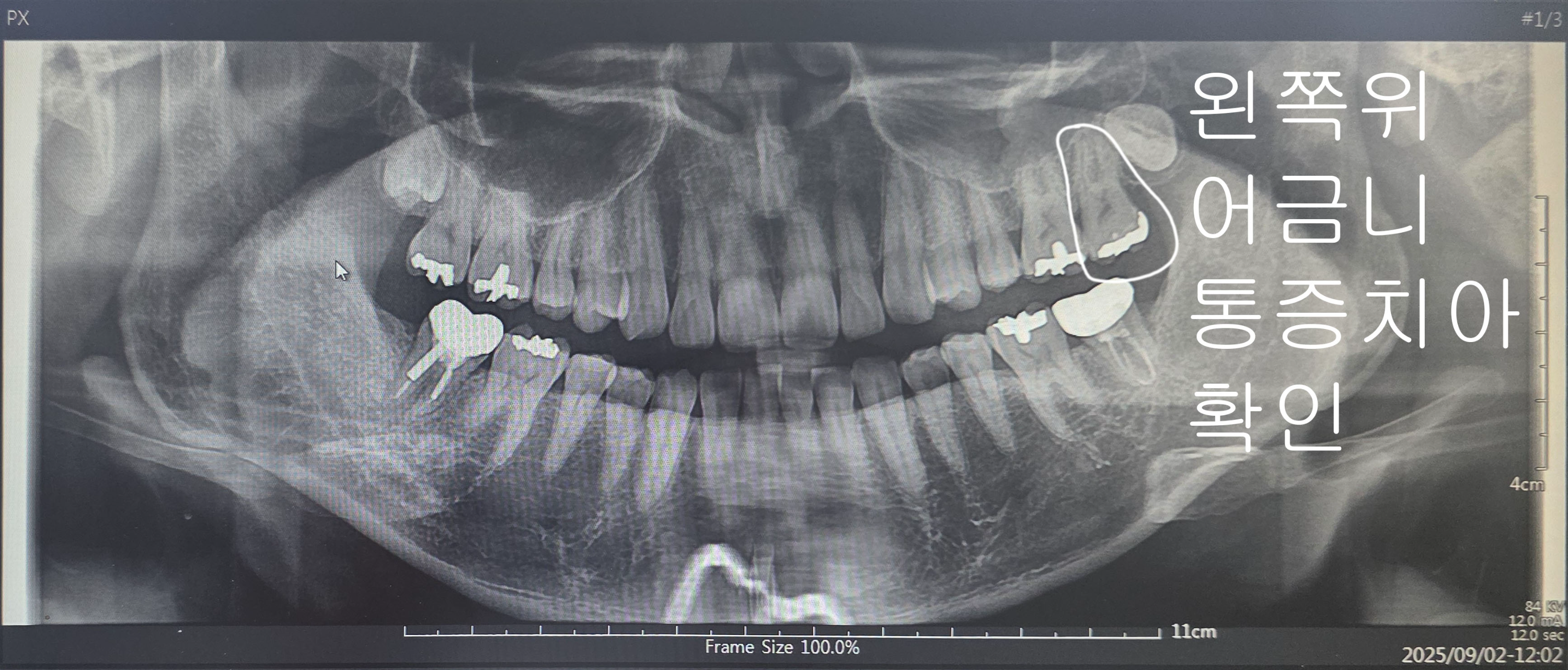
일단, 왼쪽 어금니쪽 부근의 통증이었어요!


약 4년 전 왼쪽 아래 어금니 통증으로 1차 의심인 사랑니를 제거하면서 보니 왼쪽 아래 어금니 상태가 크렉이 있어서 당장을 쓸 수 있지만 시간이 지나면 위험할 수 있다고 안내받았고, 당시 치료는 완료했지만, 나중에 최악의 상황으로 임플란트까지 할 수 있을 가능성도 있다는 진단을 받은 적이 있었기에 이쪽이 의심이 가기도 했습니다.
하지만 아래가 아닌 위쪽인듯한 느낌을 받았었기에 참고하고 일단 병원부터 찾았습니다.
전남 장성에 간단한 치료를 위해 다니던 치과는 하필 토요일 쉬는 날!!
그래도 토요일에 진료를 하는 다른 치과가 있어 찾아갔습니다.
이런저런 검사를 해보더니 통증치아가 어딘지 정확히 모르겠다며, 스케일링을 먼저 하고 의심되는 부분의 치료를 권유했습니다.
참고로 스케일링도 4개월 전에 했던 터라 다시 해야 할 필요성은 못 느꼈지만 일단 치통을 어떻게든 줄여보자는 마음과 스케일링을 하는 과정에서 다시 정확한 통증위치를 찾을 수 있을 가능성도 염두에 두고 스케일링을 받았지만 별다른 소득은 없었습니다.

찾아보니, 근관치료는 신경치료를 말하고, 레진코어는 신경치료를 하기 위해서 치아에 구멍 낸 곳을 메우는 것이고 지르코니아(구치부)는 어금니라고 합니다.
의심되는 왼쪽 아래 어금니, 왼쪽 위 어금니와 그 옆에 치아까지 총 3개의 치아를 모두 신경치로 + 레진 코어 + 지르코니아 치료를 권유하였습니다.
총비용은 165만 원인데 150만 원에 해주겠다며 실장님께서 견적서를 주셨습니다.
일단, 비용을 떠나서 이해할 수 없었습니다.
전에 서울에서 다니던 치과만 해도 현재 상태을 파악하고 상황을 지켜보고 정확한 진단을 하고 치료를 하는 신뢰가 넘치는 치과였는데 급하게 찾아간 시골 치과는 새로 생긴 치과라고 인테리어도 좋았는데 왠지 신뢰가 가지 않았어요!
아무리 시골이라지만 무턱대고 의심 치아 3개를 모두 다 치료해보자니 ㅡ,.ㅡ;;
신뢰가 무너졌습니다.
어쩔 수 없이~ 전라남도 장성에서 서울까지 먼 거리를 떠나 2010년쯤부터 다니던 치과를 다시 찾았습니다.
벌써 15년이 지났네요!
신뢰가 넘치는 상도동 연세굿모닝 치과!!

신경치료, 크라운, 임플란트, 브릿지, 사랑니 등등 대부분 치료는 모두 잘해주시고 가장 중요한 것은 신뢰감 넘치는 양심치과라는 것이 가장 마음에 드는 부분이라 15년이 지난 지금도 전라남도에서도 찾게 되는 치과입니다.
서울 동작구 양녕로 195 (상도동 208-32), 서울신상도초등학교 근처
상도역 2번 출구에서 577m 도보 13분
02-823-8275
진료시간
월~금 10:00~18:00
토 10:00~13:00
아무튼 심각한 치통에 어쩔 수 없이 가장 신뢰할 수 있는 서울 상도동 연세굿모닝치과를 찾았습니다.

일단, 의심되는 거 3개 다 치료하자! 가 아니고 정확한 통증 치아를 찾아내고 치료를 시작했습니다.
역시 시작부터 척척~! 신뢰가 갑니다.


1차 신경치료를 하고 나니 그동안 있던 고통이 순식간에 사라졌습니다.
휴~~~!! 진짜 정말~! 치통은 너무 아픕니다. ㅎㅎ 그러니 치통은 느끼자마자 참지말고 하루빨리 치과를 찾는게 최고입니다.
신경이 많이 손상되었고 상태가 아주아주 안 좋은 상황이라고 하셔서 신경치료를 몇 번 더 했습니다.
마지막 신경치료까지 마친 치아 상태입니다. 저는 봐도 모르겠습니다.
뿌리까지 신경치료를 모두 잘 치료했다고 들었어요!


그리고 크라운을 씌우려면 치아를 어느 정도 감싸야 하는데 잇몸이 치아위로 너무 올라와 있어서 잇몸을 일부 절개하는 수술도 해주셨습니다.
잇몸이 어느정도 회복되어야 하기 때문에 약 3주 정도 뒤에 최종 본을 뜨기로 했어요!


본뜨기 전에 직전에 치아를 갈아내는데 어떤 모양인지 궁금해서 사진을 한 장 찍었습니다. ㅎㅎ
이제 최종치료!
나에게 맞는 크라운 종류는 무엇인가?
이제 지르코니아로 할지 포세린(PFM)으로 할지 결정을 해야 하는데, 포세린은 요즘 거의 안 한다고 합니다.
지르코니아가 무엇인가?
지르코늄의 산화물(ZrO2)로 높은 내열성·강도·내마모성과 낮은 열전도성을 지닌 세라믹입니다.
금속이 없는 올세라믹 크라운으로 강도·심미성이 우수하고, 낮은 열전도로 시린 증상을 줄입니다.
생체친화적이며 부식·알러지 반응이 적고, 자연치와 유사한 색으로 심미성이 높습니다.
지르코니아의 장점은, 포세린보다 파절에 강하고 수명도 길어서 어금니에 하기 좋을 듯했습니다. 또, 색깔이 더 이쁘다는 것! ㅋㅋ
단점은, 너무 강해서 맞은편에 있는 대합치가 마모될 수 있다고 합니다. 그래서 살짝 낮게 하나 봅니다.
내부치아가 변색이 되면 지르코니아는 투과성이 있어서 변색이 비쳐 보일 수 있다고 하지만 내부에 쉐이드블럭 처리를 하면 커버도 된다고 합니다.
아무튼 저는 가장 안쪽 어금니라서 상관없을 듯합니다.
즉, 강도가 우수해 전치(앞니)에도 탁월하고 구치(어금니)에도 탁월하다!!
저는 지르코니아로 결정!!


치아는 아주 잘 나왔다고 합니다.
흰색일 줄 알았는데 생각보다 누런색이라 놀랐네요!
그런데 씌우고 나면 감쪽같다고 합니다.
내치아가 이렇게 누런색이었다니..... ㅡ,.ㅡ;;



크라운 치료 완료!!
그 누렇던 치아가 자리를 잡고 나니 감쪽같네요! ㅎㅎ;;
아주 잘 완성된 듯합니다.
역시 전라남도 장성에서 서울까지 먼 거리를 다녔지만 그래도 믿을 수 있는 곳에서 잘 치료받아서 마음이 편합니다.
귀촌을 했어도 치과는 역시 상도동 연세굿모닝치과로 와야 하나 봅니다. ㅎㅎ

상도동 연세굿모닝 치과 간호사분들은 15년 전이나 지금이나 나이를 먹지 않는가 봅니다.
마스크 뒤에 숨겨진 미모가 보이네요! ㅎㅎ;;
너무 만족스러운 치료라서 블로그에 꼭 글을 남기겠다고 약속하고 기념사진을 함께 찍고 왔습니다.
치과는 깔끔하고, 환자가 양치하고 손도 씻을 수 있는 공간도 있고, 어린아이들을 위한 진료실과 귀염귀염 반지 들도 있습니다.
원장님 소개와 방송출연 모습도 확인할 수 있어요!








#연세굿모닝 #치과 #상도동 #치통 #크라운 #지르코니아 #포세린 #신경치료 #레진코어 #구강내과 #소아치과 #교정 #보철 #통합치의학
'생활정보 > 생활 정보' 카테고리의 다른 글
| 4등급 경유차량 조기폐차 하기! (1) | 2025.06.30 |
|---|---|
| 돌비 애트모스 홈 시어터 세팅 후기 (AV리시버 + 5.1.2 다채널 입문자 정보) (0) | 2024.01.21 |
| 오토바이(이륜차) 사고 실비보험 청구 보상관련 (0) | 2023.10.06 |
| 캠핑생활 10년 이상! 바베큐 그릴 끝판왕을 공개합니다. ㅎㅎ (0) | 2022.10.18 |
| 티스토리 kakaoAdFit 카카오애드핏 광고 넣는 방법 총정리 (반려, 보류, 승인) (2) | 2022.10.13 |
댓글